精修复杂“心门”,微创勇破难题
- 发表时间:2025-07-01 09:12:48
- 人气:
心脏瓣膜如同心脏血液循环的“阀门”,一旦病变,可能导致心功能衰竭等严重后果。近日,市二院心血管内科团队成功完成了一例具有挑战性的经导管二尖瓣缘对缘修复术(TEER),为一名危重心衰患者带来了新生,也为我院复杂心衰患者的治疗开辟了新的路径。

患者苏老先生因心房颤动、心力衰竭来院就诊。检查发现其二尖瓣重度反流,全心扩大,情况危急,急需进一步治疗,但是药物治疗收效甚微,传统手术风险较高。
面对困境,心血管内科金骁琦主任医师团队迎难而上,经过多学科深入讨论和评估,决定为苏老先生实施国际公认的先进微创介入技术——经导管二尖瓣缘对缘修复术(TEER)。金医生介绍,二尖瓣反流是常见的心脏瓣膜疾病,传统外科手术需开胸且风险较高,TEER技术无需体外循环,创伤小、恢复快,为无法耐受传统开胸手术的高危患者带来突破性解决方案。
然而,苏老先生反流区域位于操作难度极高的2、3区,导管操控复杂,夹合困难,且毗邻心脏关键结构,极易引发并发症,手术风险较大。
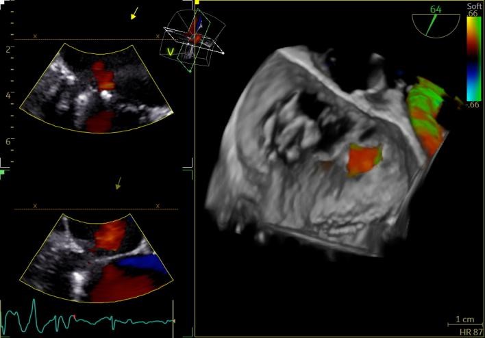
团队凭借丰富经验,拉开了一场精密手术的帷幕。在李剑平副院长的带领下,心超团队通过经食道超声在术中精准“导航”,麻醉科、胸外科、ECMO团队、ICU、血管外科等多学科专家紧密协作,金骁琦主任医师团队反复调整毫米级的介入位置,历时两小时成功完成修复!

术后复查心超显示,二尖瓣反流降至微量!手术效果立竿见影,患者心脏功能显著改善,胸闷气喘等症状显著缓解。


TEER也叫经皮二尖瓣钳夹术,是目前治疗重度二尖瓣关闭不全最成熟可靠的微创介入技术之一。经股静脉入路穿刺房间隔后,在超声引导下用特制的夹子钳夹住二尖瓣的前、后瓣叶并使之接合从而减少或消除二尖瓣返流,对团队协作、超声导航及操作精度的要求极高。此次手术的成功开展,充分彰显了我院多学科协作(MDT)的强大实力和心血管内科在微创介入领域的技术水平。

市二院心血管内科目前已成功开展经导管主动脉瓣置换术(TAVR)、经导管二尖瓣缘对缘修复术(TEER)等,常规开展冠状动脉造影、经皮冠状动脉球囊扩张及支架植入术、心房颤动导管消融、室上速/室性心律失常导管消融、单腔/双腔起搏器植入术、CRT-D/ICD植入术、左束支起搏、卵圆孔未闭封堵术、房间隔缺损封堵术、室间隔缺损封堵术、动脉导管未闭封堵术、左心耳封堵术等先进微创介入治疗技术,构建了全方位心血管疾病介入治疗体系,致力于为广大患者提供更高质量的医疗服务!

