常熟二院成功开展首例经皮内镜下胃造口肠内置管术
- 发表时间:2022-11-02 09:13:18
- 人气:
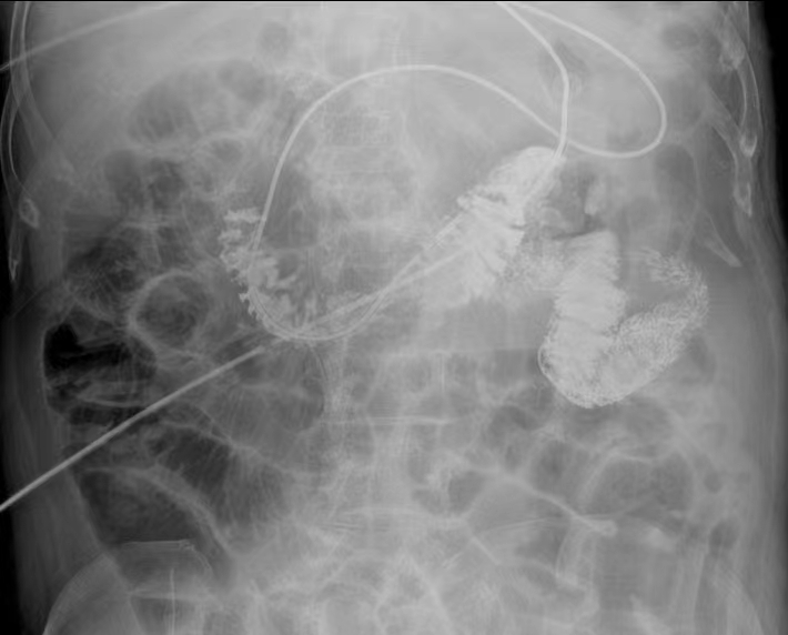
近日,常熟市第二人民医院重症医学科冯玉峰主任团队联合消化内科成翠娥主任团队成功开展首例床旁经皮内镜下胃空肠造瘘术(PEG-J)。

这位患者有鼻咽癌放疗史5年,这次发病为误吸致重症肺炎。经治疗,肺炎明显好转。考虑到需要长期肠内营养支持,家属在了解经皮胃空肠造瘘的风险后,愿意接受PEG-J治疗。

美国胃肠病学会(ACG)推荐:需要超过4周的肠内营养治疗的患者需要PEG,胃/空肠造口术是无须外科手术及全身麻醉的胃造口术。在患者难以承受剖腹手术的情况下,采用经胃或空肠重建消化道营养通道,具有重要的临床意义。该方法操作简便易行、安全快捷,并发症少,已成为胃造口管饲营养的首选方法。

PEG-J适用于各种原因造成经口进食困难,需要长期营养支持者:各种神经系统疾病导致长期丧失吞咽功能(如脑干病变、变性、肿瘤所致的咽肌麻痹,脑血管意外,外伤,肿瘤或颅脑手术后意识不清)不能经口或鼻饲营养者;各种肌病所致的吞咽困难(如重症肌无力、系统性硬化病)以及完全不能进食的神经性厌食者;全身性疾病致严重营养不良,需要营养支持,但不能耐受手术造口者;口腔、颜面、咽、喉大手术,需要较长时间营养支持者;食管穿孔、食管气管瘘或各种良、恶性肿瘤所致食管梗阻,部分无法手术的食管肿瘤患者;严重的胆外瘘,须将胆汁引回胃肠道以助消化者等。PEG-J可有效避免长期留置经鼻胃管导致咽部不适,鼻咽部黏膜受压,溃疡,尤其长期需要肠内营养支持的意识障碍患者,每月需要更换胃管或意外拔出鼻胃管,导致多次来院留置鼻胃管,针对这一类患者,长效稳定的造口管作为首选。

PEG
PEG-J可以很好的解决一周内无法肠内营养的问题。在完成胃造瘘后,在胃镜辅助下,于体外将小肠管经PEG管置入,利用胃镜将小肠管置入患者十二指肠远端(距离幽门约60cm),固定在患者腹壁,确认小肠管位置,术闭即可开始肠内营养。
随着PEG-J技术的临床推广与改进,病情轻者可带管外出参加社会活动而不影响尊严,病情重者便于护理与方便给药;将有越来越多的患者受益,极大地提高了患者的生活质量,延长寿命,显著改善预后。

